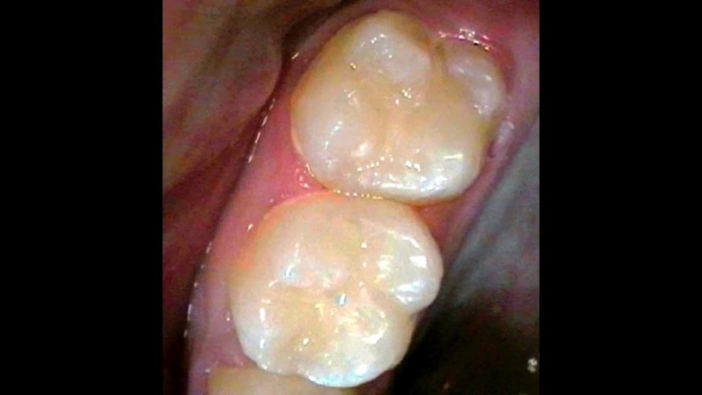
home Aesthetics Best Composite Fillings San Jose Best Composite Fillings San Jose By dentists Posted in Aesthetics Posted on May 30, 2017