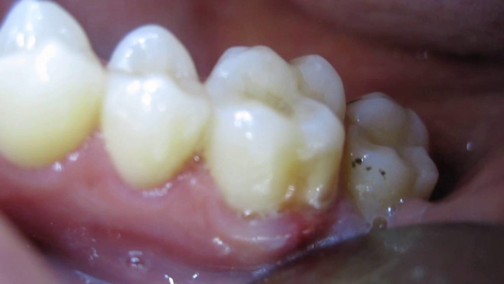
home Health Concerns Disgusting Pus-Filled Tooth Gum Boil (Periodontal Abscess) Disgusting Pus-Filled Tooth Gum Boil (Periodontal Abscess) By dentists Posted in Health Concerns Posted on June 21, 2017