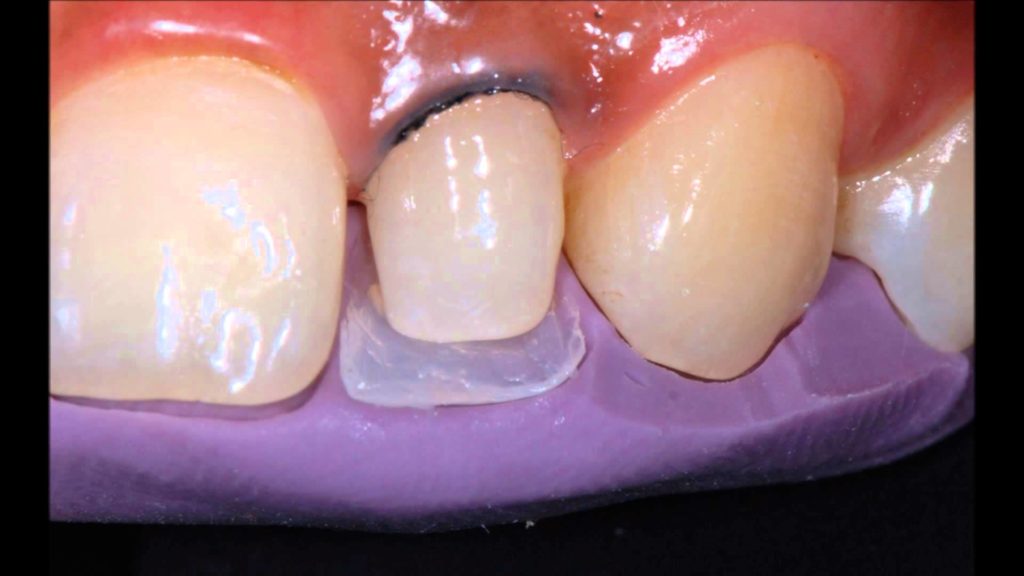
home Aesthetics Dr Anthony Tay – 3M ESPE Filtek Z350XT Anterior Composite Layering of a Peg Lateral Incisor

Dr Anthony Tay – 3M ESPE Filtek Z350XT Anterior Composite Layering of a Peg Lateral Incisor

Leave a Reply

Your email address will not be published. Required fields are marked *