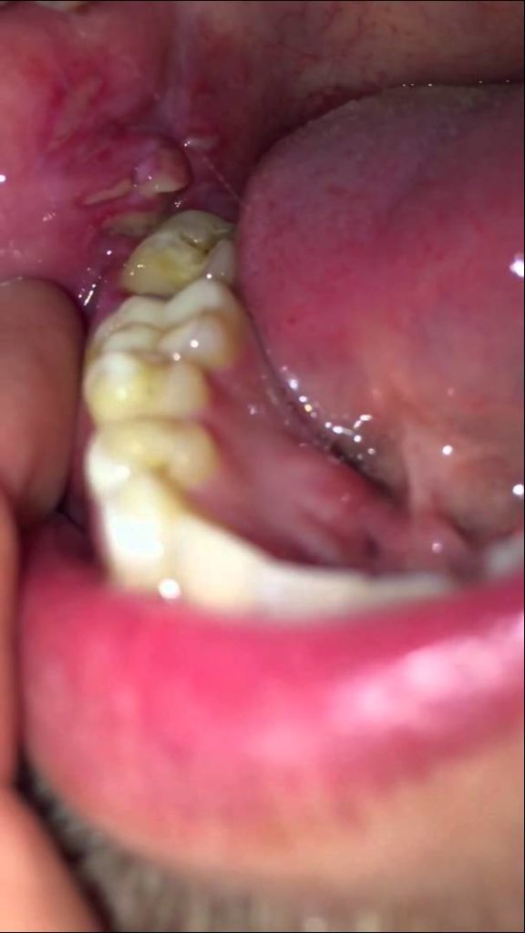
home Health Concerns Infection after wisdom teeth removal Infection after wisdom teeth removal By dentists Posted in Health Concerns Posted on May 4, 2017