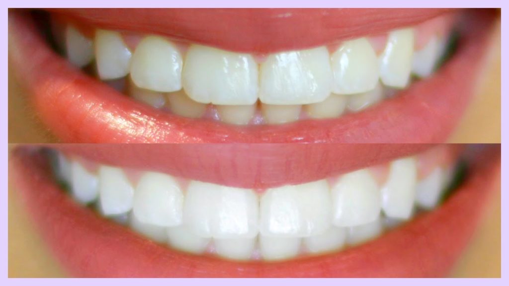
home Care Teeth Care? How I Whiten My Teeth! :) Teeth Care? How I Whiten My Teeth! :) By dentists Posted in Care Posted on April 26, 2017